Sciatica

What is the Sciatic Nerve?
The sciatic nerve is the longest nerve in your body. It begins in the lower back and extends through the buttocks down the back of each leg to the thighs and feet.
What is Sciatica?
Sciatica is a painful condition caused by the irritation of the sciatic nerve. Sciatica can be acute (short term), lasting for a few weeks or chronic (long term), persisting for more than 3 months. It is important to understand that in most cases, sciatica will resolve itself within a few weeks or months and rarely causes permanent nerve damage.
Risk Factors for Sciatica
Anyone can develop sciatica at some point in their lives; however, there are certain risk factors that may predispose you to develop sciatica. These may include:
- Increased age
- Poor physical fitness or inactive lifestyle
- Occupational risks
- Genetics
- Poor nutrition
- Medical conditions such as diabetes or cancer that has metastasized to the spine
- Smoking
Causes of Sciatica
It is important to know that sciatica is a symptom but not a medical diagnosis. Some medical conditions that can cause sciatica include herniated disks, lumbar spinal stenosis, piriformis syndrome, spondylolisthesis, degenerative disk disease, diabetes, tumors, and trauma.
Symptoms of Sciatica
The most common symptom of sciatica is pain. The pain can vary from mild to debilitating depending on the degree of pressure exerted on the sciatic nerve. Patients having sciatic nerve experience other symptoms such as:
- Pain in the buttock area and leg
- Sharp, intense, shooting pain down the leg
- Numbness, burning or tingling sensation in the leg or foot
- Weakness of the leg or foot
- Lower back pain that radiates down the buttock and leg
- Pain that increases with coughing, sneezing or straining
- Pain that increases with bending backward and with prolonged sitting or standing
Diagnosis of Sciatica
Sciatica is diagnosed by reviewing your complete medical history, performing a physical examination and assessment of neuromuscular functions. Diagnostic procedures such as X-ray, MRI, CT scan, CT scan with myelogram, electromyogram, and nerve conduction tests may also be ordered.
Treatment of Sciatica
Sciatica can be treated with conservative approaches such as physical exercises, over-the-counter drugs, ice or hot packs, prescription medications, epidural steroid injections, massages, and manual manipulation.
In some cases, surgery may be recommended to treat the underlying condition causing sciatica such as herniated disks, lumbar spinal stenosis, spondylolisthesis, and degenerative disk disease.
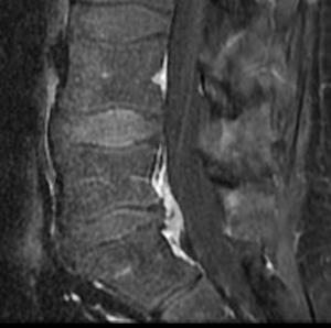
Case Study
31 year old man presents with excruciating right leg pain. MRI shows a right L5-S1 disc herniation on the right (see arrow). The left image is a sagittal view where you are seeing the spine from the side. The right image is looking at a cross section of your spine. On this view the right side is the left of the image and vice versa.
After minimally invasive surgery, the disc herniation is removed. The remaining “normal” disc is left alone.




